今やスマホやパソコンは、多くの人の間で手放せない存在。
しかしスマホやパソコンを操作していると、どうしても前傾姿勢になってしまいますね。
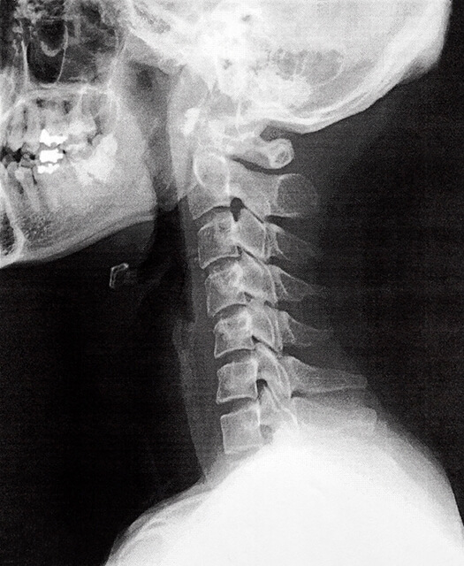
そうすると、緩やかなカーブを描いているのが正常な首の状態がまっすぐに…。
めまいの原因となる、ストレートネックと言われる現代病ともいえる症状になります。
そこで今回はストレートネックを治す方法をご紹介していきます。
めまいに悩んでいる方は必見です。
症状改善のためにも、ここでご紹介する方法をぜひお試しください。
ストレートネックのチェック方法

ストレートネックはめまいを引き起こすほどの悪い状態であり、この症状に悩みを持つ人は多いです。
まったく困った症状ですが、そもそもストレートネックとはいったいどのような体の状態を指すのでしょうか。
ここでは自分でできるストレートネックのチェック方法をご紹介しますので、ぜひ参考にして、ご自分でもチェックしてみてくださいね。
- 壁を後ろにして、自分でまっすぐだと思う状態で壁に体をくっつけて立ちます。
- 体が自然に後頭部、かかと、お尻、背中、肩甲骨が壁にくっついていれば、正常な姿勢です。
- 意識すると後頭部やかかと、お尻、背中、肩甲骨を壁にくっつく、または意識してもくっつかない状態であれば、ストレートネックの可能性があります。
つまり正常な姿勢であれば、体はきれいなS字カーブを描いているのですが、ストレートネックであればS字カーブは描かれていません。
首が前傾で突き出たような状態であり、その状態で首はまっすぐになっているのがストレートネックです。
首には多数の神経がありますので、不自然な首の状態が神経を刺激してめまいを引き起こしているのですが、ストレートネックとは恐ろしい状態ですね。
ストレートの原因となる筋肉とは?

ストレートネックの原因となる筋肉は、首や首周辺、肩、背中、肩甲骨周辺の筋肉です。
首は本来なら頭を支える部位になりますが、ストレートネックになると首だけで頭を支えるのはきついです。
重たい頭を支えるわけですから、首の筋肉に負担がかかって無理が生じるからです。
このように首の筋肉を傷めると、首周囲の筋肉や肩、背中、肩甲骨周辺の筋肉にも負担がかかり、無理が生じます。
そうするとますます首やその周辺の筋肉は傷めつけられ、ストレートネックの進行を引き起こすことになります。
また、ストレートネックは骨盤の筋肉にも関係があります。
骨盤の筋肉が弱っていると、歪みが生じて前傾姿勢になりやすいです。
そのためストレートネックを引き起こすことにもなります。
ストレートネックのめまいに効くツボ

ストレートネックは、めまいの症状を引き起こす困った姿勢です。
めまいを引き起こすと、吐き気をもよおすこともあります。
ここではめまいに効くツボをご紹介していますが、ご紹介したツボを刺激することで、めまいが解消することが期待できますので、ぜひ試してみてください。
- 天柱
後頭部の頭頂部から首へ続く下側にある髪の生え際で、くぼみがある場所を探します。そこから左右に指1本分外側にあります。
頭痛に効くツボとして知られますが首の根元にありますので、天柱を刺激すると首の神経を刺激することにもなり、めまい解消にも期待できます。
- 風池
後頭部の頭頂部から首へ続く下側にある髪の生え際で、くぼみがある場所を探します。そこから外側で、耳の下側との中間です。
左右とも天柱の外側にあります。
風池は熱や席などの風邪に対するツボとして知られていますが、めまい解消にも高い効果が期待できるツボです。
首のケアにおすすめな枕

ストレートネックの原因は、長時
間の前屈みの姿勢が続くことですが、その中には就寝中に使用する枕の硬さや高さにも関係します。
- 硬さについて
硬すぎたり柔らかすぎたりする枕を使用していると、頭と枕とのフィット感が良くありません。
特に硬すぎると、ストレートネックの状態を作る危険性が高いです。それに肩や首、背中などへの負担もかかります。そのためおススメの硬さは枕に頭を乗せたとき、動きやすい硬さが良いでしょう。
- 高さについて
枕は高すぎると首が前に曲がった状態を作り、ストレートネックの状態を進行させやすいです。それに肩こりの素にもなります。
また、低すぎる枕では首は後ろに曲がった状態を作り、血行を悪くします。そのためおススメの高さは枕に頭を乗せたとき、首と枕の間に隙間ができないくらいの高さが良いでしょう。
まとめ
めまいは私にも経験がありますが、一人で動くことが危ないときもありますね。
それに、何より気持ちが悪いです。
そのためめまいは、早めに改善したいものですよね。
ここでご紹介しためまいに効くツボやおススメな枕は、ストレートネックの改善法としての一部です。
しかし、ストレートネックの改善が高く期待できる方法ですので、ぜひ試してみてください。
ストレートネックが改善されれば、ストレートネックが原因で引き起こっているめまいも徐々に改善されるでしょうからね。

- お試しキャンペーン
-
予約が取りづらくなっております。
今月は先着3名様限定!
Warning: Trying to access array offset on null in /home/xb185557/web-meijin.com/public_html/akiseitai89582437/wp-content/themes/swell_child/custom/tmp_campaign.php on line 18
Warning: Trying to access array offset on null in /home/xb185557/web-meijin.com/public_html/akiseitai89582437/wp-content/themes/swell_child/custom/tmp_campaign.php on line 20
10/23〜10/31までの期間限定
先着3名様に限り通常1回7,500円 2回で3480円
※掲載価格は税込価格です ※他サービスとの併用はできません
